Pleural Effusion: Symptoms, Causes & Treatment

Pleural effusion is the buildup of excess fluid in the pleural space, the area between the lungs and the thin membrane that surrounds them (the pleura). This fluid can press on the lungs and cause symptoms such as chest pain and shortness of breath.

Under normal conditions, only a small amount of fluid, about 10 mL, is present in the pleural space. This amount is carefully balanced between fluid production and absorption. When a person has a health condition such as heart, lung, or autoimmune disease, this balance can be disrupted. As a result, fluid can accumulate and lead to symptoms.

Treatment for pleural effusion, sometimes referred to as fluid around the lungs, is managed by a primary care provider or pulmonologist (lung specialist). Depending on the cause, treatment may involve draining the fluid or using medications such as diuretics or antibiotics.

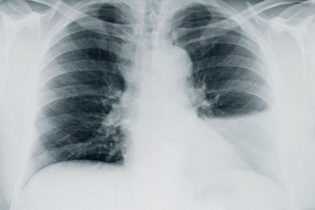
pleural effusion on chest x-ray
Raio X com derrame pleural do lado esquerdo

Main symptoms

The main symptoms of pleural effusion include:

  • Difficulty breathing;

  • Shortness of breath, even at rest;

  • Fatigue, especially during physical activity;

  • Chest pain that worsens with deep breathing or coughing;

  • Persistent dry cough;

  • Ongoing pain with breathing;

  • Hiccups;

  • Fever.

In many cases, small pleural effusions do not cause noticeable symptoms. When symptoms do occur, they are often related to the underlying condition, such as heart failure or pneumonia.

It is important to see a primary care provider or pulmonologist if symptoms of pleural effusion develop. Early evaluation helps confirm the diagnosis, identify the cause, and start the most appropriate treatment.

Is pleural effusion serious?

Pleural effusion is not always serious on its own. In many cases, small amounts of fluid can be naturally reabsorbed by the body.

However, pleural effusion can be a sign of serious medical conditions, including chronic kidney disease, heart failure, lung cancer, or lymphoma. If left untreated, it may lead to complications such as empyema (a collection of pus in the pleural space), pulmonary edema, bleeding, or a collapsed lung.

Confirming a diagnosis

Pleural effusion is usually diagnosed by a primary care provider or a pulmonologist. The diagnosis is based on symptoms, medical history, and a physical exam. According to the American College of Radiology (ACR), a chest X-ray is the recommended first imaging test when pleural effusion is suspected because it can show the fluid as a lighter (whiter) area on the image.

Additional imaging tests, such as a chest ultrasound or computed tomography (CT) scan, may also be ordered. A procedure called thoracentesis may be performed to remove a sample of fluid from the pleural space for laboratory analysis, which helps determine the cause.

Possible causes

The main causes of pleural effusion include:

  • Pneumonia or tuberculosis;

  • Pulmonary embolism or lung cancer;

  • Lymphoma or mesothelioma;

  • COVID-19;

  • Autoimmune diseases such as rheumatoid arthritis and lupus;

  • Kidney conditions such as nephrotic syndrome and advanced kidney failure;

  • Liver cirrhosis;

  • Decompensated heart failure;

  • Decompensated hypothyroidism;

  • Pancreatitis.

Pleural effusion may also occur after radiation therapy to the chest, rupture of the esophagus, or the use of certain medications such as methotrexate, amiodarone, dasatinib, or phenytoin.

These conditions can cause inflammation in the lungs or pleura, leading to fluid accumulation.

Treatment options

Treatment for pleural effusion is typically recommended when the fluid volume is large or causing significant symptoms, such as severe pain or shortness of breath. Small effusions may resolve on their own and only require follow-up imaging to monitor changes.

When drainage is needed, a doctor inserts a needle through the chest wall into the pleural space to remove excess fluid. This helps relieve pressure on the lungs and improve breathing.

Depending on the underlying cause, treatment may also include medications such as diuretics, antibiotics, or chemotherapy. In more severe cases, surgery may be required to remove inflamed or damaged pleural tissue, a procedure known as thoracoscopy or thoracotomy.

Physical therapy

After fluid removal, a doctor may recommend respiratory physical therapy. This involves guided breathing exercises performed with a physical therapist to help the lung re-expand after being compressed by the fluid.

These exercises can reduce breathing discomfort and improve oxygen levels in the body.